Επανορθωτική Οδοντιατρική
Με τον όρο επανορθωτική οδοντιατρική εννοούμε την οποιαδήποτε ακίνητη ή κινητή προσθετική αποκατάσταση (θήκες / γέφυρες / οδοντοστοιχίες).
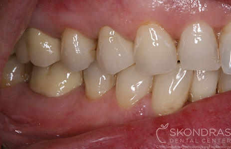
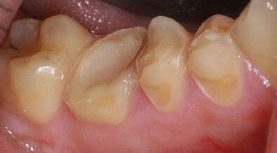
Μεταλλοκεραμική – ολοκεραμική στεφάνη (θήκη) / επένθετο






Ακίνητη Προσθετική
Στεφάνη / Γέφυρα
Συγκολλάται με μόνιμη κόλλα και η κατασκευή της μπορεί να ποικίλλει. Συγκεκριμένα, η μεταλλοκεραμική στεφάνη / γέφυρα αποτελείται από μέταλλο (χρωνιο- κοβαλτιούχα ή ευγενή κράματα), το οποίο στη συνέχεια καλύπτεται από πορσελάνη, ενώ η ολοκεραμική (ζιρκονία, διπυριτικό λίθιο) αποτελείται εξ ολοκλήρου από πορσελάνη.
Η γέφυρα σε δόντια χρησιμοποιείται όταν λείπει ένα δόντι και θέλουμε να καλύψουμε το νωδό διάστημα χωρίς τη χρήση εμφυτευμάτων. Είναι σαν θήκες κολλημένες μεταξύ τους, οι οποίες συγκολλώνται στα γειτονικά τροχισμένα δόντια.
Τα υλικά κατασκευής είναι τα ίδια με αυτά των στεφανών. Σε όλα τα στάδια που μεσολαβούν από το τρόχισμα, μέχρι την τελική συγκόλληση της προσθετικής εργασίας, ο ασθενής φεύγει πάντα από το ιατρείο με προσωρινές (μεταβατικές) στεφάνες / γέφυρες. Έτσι εξασφαλίζεται η αισθητική εμφάνιση του ασθενούς, ο οποίος σε όλο αυτό το χρονικό διάστημα που μεσολαβεί, συνεχίζει κανονικά την καθημερινότητα του. Η επιλογή του υλικού και ο τρόπος κατασκευής εξαρτάται από διάφορους παράγοντες και η επιλογή είναι εξατομικευμένη για κάθε περιστατικό.
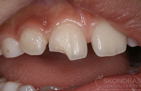
Όψεις πορσελάνης
Οι όψεις πορσελάνης, είναι λεπτές φλούδες από πορσελάνη, που κολλάνε μόνιμα στα δόντια και με τις οποίες μπορούμε να διορθώσουμε, με καθόλου ή με ελάχιστο τρόχισμα, αισθητικά προβλήματα. Aποτελούν μια οδοντιατρική θεραπεία κατάλληλη για να βελτιώσετε το χαμόγελο σας. Τοποθετούνται συνήθως στα μπροστινά σας δόντια και μπορούν να διορθώσουν το σχήμα, το χρώμα αλλά και την θέση των δοντιών.
Αφορούν εκείνους που θέλουν να αλλάξουν το σχήμα ή και το χρώμα των δοντιών τους, προκειμένου να βελτιώσουν ή να διορθώσουν αισθητικά το χαμόγελο τους.
Τα αισθητικά προβλήματα που συναντάμε πιο συχνά και μπορούν να διορθωθούν με τις όψεις πορσελάνης είναι:
- Μερικώς στραβά δόντια
- Έντονες δυσχρωμίες των δοντιών
- Κενά (διαστήματα) μεταξύ των δοντιών
- Υπολειπόμενοι πλάγιοι τομείς
- Το μέγεθος των δοντιών
- Μερικώς σπασμένα δόντια
Οι όψεις πορσελάνης μπορούν να κατασκευαστούν σε πλήρη αρμονία με το πρόσωπο και τα υπόλοιπα δόντια, ώστε η παρέμβαση να μη φαίνεται σε τρίτους.
Η κατασκευή των όψεων πορσελάνης γίνεται με συγκεκριμένο πρωτόκολλο στο οδοντιατρείο μας και το αποτέλεσμα είναι προβλέψιμο και ακριβές, προσφέροντας ένα λευκό και ίσιο χαμόγελο.
Όψεις Πορσελάνης


Αισθητική Πρόσθιων


Όψεις πορσελάνης δεν μπορούν να χρησιμοποιηθούν:
- σε δόντι που έχει ήδη μια στεφάνη
- σε δόντι στο οποίο λείπει πολύ μεγάλο μέρος οδοντικής ουσίας
- όταν η αλλαγή στην θέση ή στην κλίση του δοντιού προϋποθέτει σημαντική αφαίρεση της οδοντικής ουσίας του
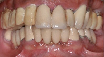
Αποκατάσταση φραγμού με επιεμφυτευματικές κινητές προσθετικές


Κινητή Προσθετική
Αισθητική Οδοντιατρική
Με τον όρο αισθητική οδοντιατρική γίνεται αναφορά σε όλες τις οδοντιατρικές θεραπείες που εξασφαλίζουν την αισθητική και λειτουργική αποκατάσταση της στοματικής κοιλότητας. Έτσι σε κάθε θεραπεία δίνεται έμφαση τόσο στην διατήρηση του σωστού σχήματος και χρώματος του δοντιού όσο και στην υγεία του περιοδοντίου. Η αισθητική οδοντιατρική αφορά άντρες και γυναίκες που ενδιαφέρονται για την υγεία και την εμφάνισή τους και όσους επιθυμούν να αποκτήσουν ένα αστραφτερό χαμόγελο και να χαμογελούν άφοβα.
Ένα ελκυστικό χαμόγελο προσθέτει όχι μόνο ψυχική ευεξία, αλλά και ποιότητα στη ζωή μας. Τονώνεται η αυτοπεποίθηση και η αυτοεκτίμηση μας και έτσι έχουμε θετικά αποτελέσματα σε όλους τους τομείς της ζωής μας. Η αποκατάσταση και διατήρηση των σωστών αναλογιών του κάτω τριτημορίου του προσώπου εξασφαλίζει μια φυσική εμφάνιση του προσώπου. Με την πάροδο του χρόνου παρατηρείται η φυσική φθορά των δοντιών με αποτέλεσμα τόσο το σχήμα όσο και το χρώμα να αλλοιώνεται, ενώ ταυτόχρονα η μείωση του μυϊκού τόνου συνεχώς και αυξάνεται, με αποτέλεσμα την εμφάνιση ρυτίδων γύρω από το στόμα και ταυτόχρονα την πτώση των γωνιών του στόματος.
Ο οδοντίατρος καλείται να αποκαταστήσει την αρμονία και συμμετρία με την σωστή χρήση τεχνικών και υλικών και διαθέτει πλέον τη δυνατότητα, μετά την κατάρτιση ενός σχεδίου θεραπείας, να αποκαταστήσει τον ασθενή που επιθυμεί να “φτιάξει” το χαμογελό του χρησιμοποιώντας ολοκεραμικές όψεις, όψεις ρητίνης, στεφάνες ολοκεραμικές και μεταλλοκεραμικές και τέλος με μια λεύκανση η οποία θα “φωτίσει” το χαμόγελο ανοίγοντας το χρώμα των φυσικών δοντιών.

Όψεις Ρητίνης


Μετά τη μελέτη του κάθε περιστατικού προτείνονται στον ασθενή οι διάφορες θεραπευτικές λύσεις και εν συνεχεία μετά την ολοκλήρωση του διαγνωστικού κερώματος υπάρχει η δυνατότητα μεταφοράς αυτού ενδoστοματικά χωρίς την παραμικρή παρέμβαση (mock-up). Mε τη βοήθεια του κλινικού αλλά και με την οικονομική δυνατότητα του κάθε άτομου επιλέγεται τελικώς το κατάλληλο θεραπευτικό σχήμα. Αυτό μπορεί να ολοκληρωθεί σε μία και μόνο συνεδρία ή να χωριστεί η θεραπεία σε κομμάτια, ώστε να επιτευχθεί το καλύτερο δυνατό αποτέλεσμα.
Λεύκανση
Περιστατικά
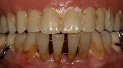
Αποκατάσταση φραγμού με συνδυασμό ακίνητης και κινητής προσθετικής






Αποκατάσταση φραγμού με επιεμφυτευματικές κινητές προσθετικές






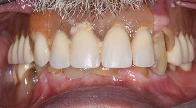
Μεταλλοκεραμική – ολοκεραμική στεφάνη (θήκη) / επένθετο








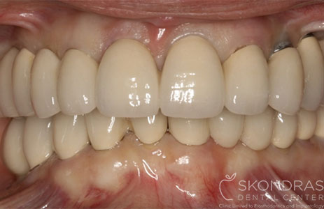
Αισθητική Πρόσθιων


Όψεις Ρητίνης


Όψεις Πορσελάνης


Our Competitive Pricing
Lorem ipsum dolor sit amet, consectetuer adipiscing elit. Aenean commodo ligula eget dolor. Aenean massa. Cum sociis natoque penatibus et magnis dis parturient montes.
Amalgam Fillings
Composite Fillings
Gold Fillings

Insurance Plans Accepted
Lorem ipsum dolor sit amet, consectetuer adipiscing elit. Aenean commodo ligula eget dolor. Aenean massa. Cum sociis natoque penatibus et magnis dis parturient montes, nascetur ridiculus mus.
Donec quam felis, ultricies nec, pellentesque eu, pretium quis, sem. Nulla consequat massa quis enim. Donec pede justo, fringilla vel, aliquet nec, vulputate eget, arcu.
In enim justo, rhoncus ut, imperdiet a, venenatis vitae, justo. Nullam dictum felis eu pede mollis pretium. Integer tincidunt. Cras dapibus. Vivamus elementum semper nisi. Aenean vulputate eleifend tellus. Aenean leo ligula, porttitor eu, consequat vitae, eleifend ac, enim. Aliquam lorem ante, dapibus in, viverra quis, feugiat.
Our Clients

Mark Doe
- Dental Care Patient

Jane Doe
- Dental Care Patient

John Brown
- Dental Care Patient
Appointments
Lorem ipsum dolor sit amet, consectetuer adipiscing elit. Aenean commodo ligula eget dolor. Aenean massa. Cum sociis natoque penatibus et magnis dis parturient montes.