

Λεύκανση Δοντιών
Ποια λεύκανση να διαλέξω;
Η διαδικασία απαιτεί την χρήση κάποιων ουσιών που διεισδύουν στο εσωτερικό του δοντιού καιτου αλλάζουν το χρώμα. Σήμερα υπάρχει η δυνατότητα να πραγματοποιηθεί η λεύκανση με τρεις διαφορετικούς τρόπους:
Στο σπίτι με προϊόντα εμπορίου
Αυτός ο τρόπος λεύκανσης είναι και ο πιο οικονομικός, αλλα η χρήση τέτοιων λευκαντικών ουσίων μπορεί να μην είναι η πλέον κατάλληλη, καθώς δεν είναι σίγουρο εάν ο λευκαντικός παράγοντας έχει περάσει από ασφαλή ερευνητικό έλεγχο. Είναι σημαντικό να τονιστεί ότι δεν πρέπει να πραγματοποιείται λεύκανση χωρίς την καθοδήγηση από τον θεράποντα οδοντίατρο.
Στο σπίτι με νάρθηκες (μασελάκια)
Η διάρκεια της λεύκανσης μπορεί να κυμανθεί απο 2 έως 5 εβδομάδες (ανάλογα με το πόσο γρήγορα λευκαίνει το δόντι).Οι νάρθηκες εμπορίου μπορεί να μην εφαρμόζουν τέλεια στα δόντια, ειδικά όταν τα δόντια δεν είναι τελείως ίσια, όποτε υπάρχει ο κίνδυνος εκροής του λευκαντικού παράγοντα με αποτέλεσμα αφενός να πραγματοποιηθεί μερική λεύκανση των δοντιών και αφετέρου να δημιουργηθεί τοπικός ερεθισμος στα ούλα. Οι εξατομικευμένοι (ατομικοί) νάρθηκες κατασκευάζονται από τον οδοντίατρο ή τον εργαστηριακό συνεργάτη μετά τη λήψη αποτυπώματος του οδοντικού φραγμού της άνω και κάτω γνάθου. Για την κατασκευή του νάρθηκα χρειάζεται 1-2 μέρες. Στη συνέχεια δίνονται στον ενδιαφερόμενο οι νάρθηκες και ο λευκαντικός παράγοντας. Ανάλογα με το είδος και την πυκνότητα του λευκαντικού ο νάρθηκας φέρεται από 1-8 ώρες την ημέρα ή κατά τη διάρκεια του βραδινού ύπνου. Η επίσκεψη στο ιατρείο είναι απαραίτητη από δύο έως τέσσερις φορές για τον έλεγχο της πορείας της λεύκανσης και για το τελικό αποτέλεσμα.
Στο ιατρείο
Η διαδικασία της λεύκανσης ολοκληρώνεται μέσα σε μία ώρα και όλη η διαδικασία ελέγχεται απο τον αδοντίατρο. Η διαδικασία ξεκινά με την τοποθέτηση της λευκαντικής γέλης (gel) στα δόντια, μετά την απομάκρυνση της γλώσσας και των χειλέων για να μην ακουμπήσουν στο gel και ερεθιστούν, το οποίο ενεργοποιείται με την χρήση ή όχι φωτός (αλογόνου, υπεριώδους ακτινοβολίας ή laser) Με τη χρήση των ειδικών συσκευών αυξάνεται η αποτελεσματικότητα και επιταχύνεται η διαδικασία της λεύκανσης. Το κυριότερο πλέονέκτημα αυτής της μεθόδου είναι ότι πραγματοποιείται σε μικρότερο χρόνο σε σχέση με τη λεύκανση στο σπίτι. Έαν το αποτέλεσμα δεν ικανοποιεί τον ασθενή, ακολουθείται συμπλρωματική λεύκανση στο σπίτι με εξατομικευμένο νάρθηκα σύμφωνα με τις οδηγίες του οδοντιάτρου για μικρό χρονικό διάστημα.
Μετά από πολύχρονες έρευνες τα λευκαντικά που χρησιμοποιούνται από τους οδοντιάτρους δεν θέτουν σε κίνδυνο τα δόντια (δεν επηρεάζουν το σμάλτο).
Συνοπτικά διάρκεια θεραπείας και το αποτέλεσμα
- Λεύκανση στο ιατρείο, 1,5 ώρα, μέχρι 8 χρωματικούς τόνους
- Λεύκανση με νάρθηκες εμπορίου, 1-4 εβδομάδες, 2-3 χρωματικούς τόνους
- Λεύκανση με ατομικούς νάρθηκες, 1-4 εβδομάδες, 6-8 χρωματικούς τόνους
- Λευκαντική οδοντόπαστα, 1 μήνα, 1-2 χρωματικούς τόνους
Όλα τα δόντια λευκαίνουν το ίδιο;
Όχι, δεν λευκαίνουν το ίδιο όλα τα δόντια.
Δείτε τον παρακάτω πίνακα με κάποιους σημαντικούς παράγοντες που επηρεάζουν τη λεύκανση.
Παράγοντες | Θετική Επίδραση (Ενισχύουν τη λεύκανση) | Αρνητική Επίδραση (Εμποδίζουν/Μειώνουν τη λεύκανση) |
---|---|---|
Τύπος αποχρωματισμού | Εξωτερικοί λεκέδες από τροφές, ποτά, κάπνισμα | Εσωτερικοί λεκέδες από τετρακυκλίνη, τραύματα, φθορά, ηλικία |
Ηλικία | Νεαρότερη ηλικία (πιο διαπερατή αδαμαντίνη) | Μεγαλύτερη ηλικία (πάχυνση οδοντίνης, λέπτυνση αδαμαντίνης) |
Συμμόρφωση με οδηγίες | Καθημερινή, σωστή εφαρμογή λευκαντικού υλικού | Παράλειψη εφαρμογών, μη σωστή χρήση ναρθήκων |
Τύπος λεύκανσης | Επαγγελματική στο ιατρείο ή με ναρθήκες στο σπίτι | Μη ελεγχόμενη χρήση προϊόντων λιανικής |
Συγκέντρωση λευκαντικού παράγοντα | Υψηλότερη (σε επαγγελματικά συστήματα, με σωστή παρακολούθηση) | Πολύ χαμηλή συγκέντρωση (π.χ. σε λευκαντικές οδοντόκρεμες) |
Χρόνος εφαρμογής | Αρκετή διάρκεια ανά συνεδρία και συνολικά | Υπερβολική διάρκεια χωρίς παρακολούθηση (κίνδυνος ευαισθησίας) |
Κατάσταση δοντιών & στοματικής υγείας | Καλή υγεία δοντιών και ούλων | Τερηδόνες, ουλίτιδα, αποκαλύψεις ριζών |
Τροφές και ποτά | Αποφυγή χρωστικών (καφές, κρασί, κόλα, κάρυ) κατά τη λεύκανση | Συχνή κατανάλωση χρωστικών τροφών/ποτών |
Κάπνισμα | Διακοπή καπνίσματος | Συνεχιζόμενο κάπνισμα μειώνει ή αντιστρέφει το αποτέλεσμα |
Ευαισθησία δοντιών | Ήπια ή ανύπαρκτη ευαισθησία → καλύτερη συμμόρφωση | Έντονη ευαισθησία → πιθανή διακοπή της θεραπείας |
Συντήρηση μετά τη λεύκανση | Τακτική χρήση λευκαντικών οδοντόκρεμων/επαναληπτικές θεραπείες | Απουσία συντήρησης → υποτροπή χρωματισμών |
Λευκαίνουν τα σφραγίσματα και οι στεφάνες (θήκες);
Μόνο τα φυσικά δόντια λευκαίνουν!!! Οι στεφάνες-σφραγίσματα δεν αλλάζουν χρώμα με την λεύκανση. Η διαδικασία της λεύκανσης είναι καλύτερο να πραγματοποιείται πριν την κατασκευή των προγραμματισμένων προσθετικών εργασιών. Σε περίπτωση που υπάρχουν ήδη προσθετικές εργασίες, η αντικατάσταση τους μετά το πέρας της λεύκανσης μπορεί να κρίνεται απαραίτητη.
Χρήσιμες πληροφορίες
Το ποσοστό επιτυχίας της λεύκανσης είναι 90% και το αποτέλεσμα δεν είναι μόνιμο. Η διάρκεια της λεύκανσης κρατά περίπου ένα με δύο χρόνια Η συντήρηση επιτυγχάνεται πιο εύκολα και με τη χρήση λευκαντικής οδοντόπαστας που διατίθεται ή από τον οδοντίατρο ή από τα φαρμακεία και χρησιμοποιείται μια φορά την εβδομάδα. Για ένα συνεχές λαμπερό χαμόγελο συνιστάται η αναμνηστική λεύκανση κάθε 12-16 μήνες. Κατά τη διάρκεια οποιασδήποτε λεύκανσης μπορεί να δημιουργηθεί ευαισθησία σε κάποιο δόντι η οποία υποχωρεί με το πέρας της διαδικασίας Η λεύκανση στο ιατρείο με τη λεύκανση στο σπίτι έχει το ίδιο τελικό αισθητικό αποτέλεσμα.
Σε ποιες περιπτώσεις απαγορεύεται η λεύκανση;
- σε εγκύους ή σε γυναίκες που θηλάζουν
- σε δόντια με περιοδοντίτιδα
- σε ασθενείς με υπερευαισθησία
- σε ασθενείς με πολλές προσθετικές αποκαταστάσεις- σφραγίσματα σε πρόσθια δόντια
- σε ασθενείς αλλεργικούς σε κάποιο ή κάποια συστατικά του λευκαντικού
- σε παιδια κάτω των 17 ετών
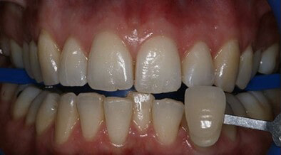
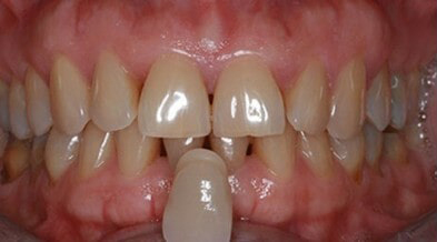
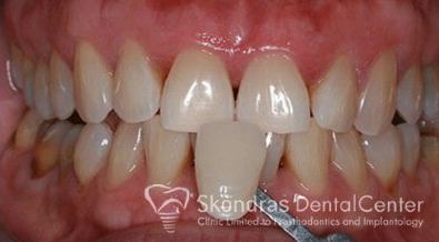
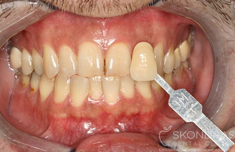
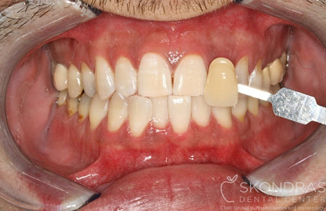
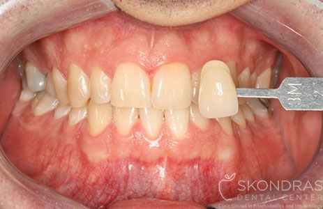
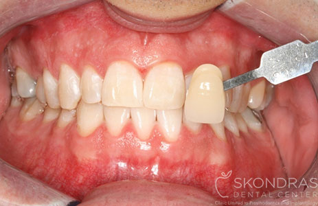
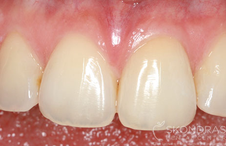
Περιστατικά
Εξωτερική Λεύκανση








Συνδυασμός εσωτερικής και εξωτερικής λεύκανσης


Our Competitive Pricing
Lorem ipsum dolor sit amet, consectetuer adipiscing elit. Aenean commodo ligula eget dolor. Aenean massa. Cum sociis natoque penatibus et magnis dis parturient montes.
Amalgam Fillings
Composite Fillings
Gold Fillings

Insurance Plans Accepted
Lorem ipsum dolor sit amet, consectetuer adipiscing elit. Aenean commodo ligula eget dolor. Aenean massa. Cum sociis natoque penatibus et magnis dis parturient montes, nascetur ridiculus mus.
Donec quam felis, ultricies nec, pellentesque eu, pretium quis, sem. Nulla consequat massa quis enim. Donec pede justo, fringilla vel, aliquet nec, vulputate eget, arcu.
In enim justo, rhoncus ut, imperdiet a, venenatis vitae, justo. Nullam dictum felis eu pede mollis pretium. Integer tincidunt. Cras dapibus. Vivamus elementum semper nisi. Aenean vulputate eleifend tellus. Aenean leo ligula, porttitor eu, consequat vitae, eleifend ac, enim. Aliquam lorem ante, dapibus in, viverra quis, feugiat.
Our Clients

Mark Doe
- Dental Care Patient

Jane Doe
- Dental Care Patient

John Brown
- Dental Care Patient
Appointments
Lorem ipsum dolor sit amet, consectetuer adipiscing elit. Aenean commodo ligula eget dolor. Aenean massa. Cum sociis natoque penatibus et magnis dis parturient montes.