
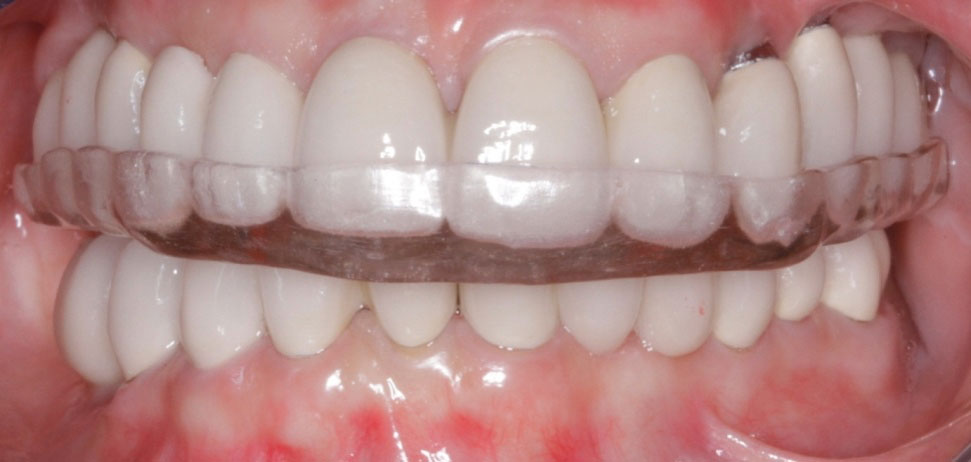
Νάρθηκας Βρυγμού
Το ξέρατε ότι το τρίξιμο και σφίξιμο των δοντιών προκαλεί ημικρανίες, πονοκεφάλους και πόνο στις αρθρώσεις; Υποφέρετε απο ημικρανίες; Τρίζετε τα δόντια σας; Ο βρυγμός (το τρίξιμο και σφίξιμο των δοντιών) οφείλεται στην υπερβολική δραστηριότητα των μυών των γνάθων κυρίως σε περιόδους φορτωμένου προγράμματος, άγχους, στρες.
Τι συνέπειες μπορεί να έχει;
Η συνεχής συστολή των μυών του στοματογναθικού συστήματος προκαλεί τρίξιμο και σφίξιμο των δοντιών (τόσο κατά την διάρκεια της μέρας ή της νύχτας όσο και κατά την περίοδο έντονης κόπωσης- στρες ή πνευματικής εργασίας) και αυτό έχει σαν επακόλουθο την καταστροφή (αποτριβή) των δοντιών προκαλώντας λειτουργικά και αισθητικά προβλήματα.
Υπάρχει θεραπεία;
Με την εξάλειψη του σφιξίματος, μέσα σε μικρό χρονικό διάστημα μειώνεται αισθητά ο πόνος. Στο ιατρείο μας προτείνεται η κατασκευή ενός εξατομικευμένου νάρθηκα (νάρθηκα κεντρικής σχέσης), ο οποίος κατασκευάζεται εργαστηριακά και εξασφαλίζει τη χαλάρωση των μυών. Ο νάρθηκας αυτός φέρεται κατά την διάρκεια του ύπνου και σταδιακά εξαφανίζονται τα συμπτώματα όπως πονοκέφαλοι, πόνοι στον αυχένα και στις γνάθους.
Τι είναι ο νάρθηκας βρυγμού;
Είναι μία ειδική κατασκευή από διάφανο σκληρό ακρυλικό η οποία εμποδίζει τα δόντια να κλείσουν στην συνηθισμένη τους θέση και αυτό βοηθάει στην χαλάρωση των μυών και την άρση των συμπτωμάτων. Χρησιμοποιείται κατά κύριο λόγο το βράδυ, αλλά μπορεί να φοριέται και κατά τη διάρκεια της ημέρας, αν κρίνεται σκόπιμο.
Η χρήση του νάρθηκα προστατεύει τα δόντια από την αποτριβή, μειώνει την κινητικότητα τους, και προστατεύει τις προσθετικές εργασίες από κατάγματα.
Για την αντιμετώπιση του βρυγμού ο νάρθηκας πρέπει να πληρεί τις απαιτούμενες προδιαγραφές. Πιο συγκεκριμένα, πρέπει να είναι ανένδοτος, από σκληρό ακρυλικό, και να επιτρέπει ελεύθερα τις οριζόντιες και πλάγιες κινήσεις της κάτω γνάθου.
Οι μαλακοί νάρθηκες αντενδείκνυνται απολύτως για την περίπτωση του βρυγμού, γιατί τον επιδεινώνουν.

Ποια είναι η διαδικασία για την ετοιμασία του νάρθηκα βρυγμού;
Στο πρώτο ραντεβού αποτυπώνονται τα δόντια της άνω και κάτω γνάθου και καταγράφεται η σύγκλειση των δοντιών( ο τρόπος που κλείνουν).
Εν συνεχεία κατασκευάζεται ο νάρθηκας στο εργαστήριο, ο οποίος τοποθετείται και ρυθμίζεται στο στόμα σας. Πολύ σημαντικό για την επιτυχία της θεραπείας με τον νάρθηκα βρυγμού είναι ο τακτικός επανέλεγχος (recall) διότι μόνο έτσι μπορεί να διασφαλιστεί η σωστή λειτουργία του.
Ο νάρθηκας χρειάζεται αντικατάσταση μόνο αν καταστραφεί ή αν αλλάξει κάτι στην θέση και στο σχήμα είτε των δοντιών είτε των αποκαταστάσεων
Our Competitive Pricing
Lorem ipsum dolor sit amet, consectetuer adipiscing elit. Aenean commodo ligula eget dolor. Aenean massa. Cum sociis natoque penatibus et magnis dis parturient montes.
Amalgam Fillings
Composite Fillings
Gold Fillings

Insurance Plans Accepted
Lorem ipsum dolor sit amet, consectetuer adipiscing elit. Aenean commodo ligula eget dolor. Aenean massa. Cum sociis natoque penatibus et magnis dis parturient montes, nascetur ridiculus mus.
Donec quam felis, ultricies nec, pellentesque eu, pretium quis, sem. Nulla consequat massa quis enim. Donec pede justo, fringilla vel, aliquet nec, vulputate eget, arcu.
In enim justo, rhoncus ut, imperdiet a, venenatis vitae, justo. Nullam dictum felis eu pede mollis pretium. Integer tincidunt. Cras dapibus. Vivamus elementum semper nisi. Aenean vulputate eleifend tellus. Aenean leo ligula, porttitor eu, consequat vitae, eleifend ac, enim. Aliquam lorem ante, dapibus in, viverra quis, feugiat.
Our Clients

Mark Doe
- Dental Care Patient

Jane Doe
- Dental Care Patient

John Brown
- Dental Care Patient
Appointments
Lorem ipsum dolor sit amet, consectetuer adipiscing elit. Aenean commodo ligula eget dolor. Aenean massa. Cum sociis natoque penatibus et magnis dis parturient montes.